
Leishmaniasis
Our research
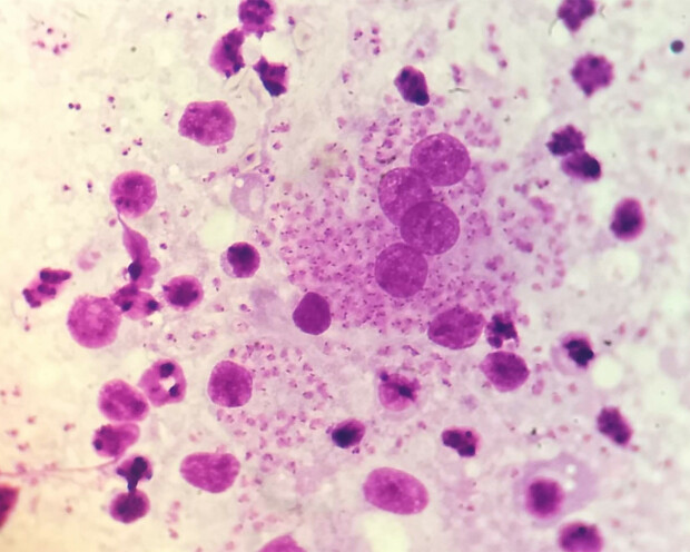
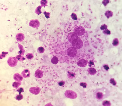
Even though leishmaniasis is one of the most devastating parasitic diseases in the world, it is listed as a neglected tropical disease (NTD) by the World Health Organization (WHO). The etiological agent Leishmania has a unique biology, leading to an immense diversity in transmission pathways, immunological responses and clinical disease presentation.
At ITM, we foster our synergies and collectively aspire the following five goals:
Expedite global pre- and post-elimination efforts of leishmaniasis by improving diagnostics, treatments, vaccines, vector control, integrated surveillance and its implementation.
Study host-parasite interaction and adaptations directly in patient samples and at population level by embracing its complexity and diversity with a unique single-cell and parasite resolution.
Provide a holistic and intercontinental approach to all research questions due to disease diversity across continents.
Innovate tools and programmes to reach the most remote patients within a neglected disease population.
Facilitate horizontal translation to other (skin) NTD research and programmes.

Historic and current expertise
The Unit of Mycobacterial Diseases and Neglected Tropical Diseases within the Department of Public Health has been historically involved in the coordinated efforts on improved testing, surveillance, and clinical management, bringing visceral leishmaniasis (VL) in South Asia to the brink of elimination. To prevent a resurgence of the disease, the unit is further developing and piloting sustainable disease surveillance innovations suited for a post-elimination setting. These innovations include strengthening of case-based surveillance, exploration of (integrated) sero-surveillance, and the control of skin manifestations serving as interepidemic reservoirs. Additionally, molecular surveillance can support the validation of reported case data, provide insight in spatio-temporal patterns of transmission in order to guide targeted disease control measures, and allow monitoring of emerging parasite species with potentially clinical implications.
The latter is performed in close collaboration with the Unit of Molecular Parasitology within the Department of Biomedical Sciences, that leads
the improvement of genomic surveillance tools (e.g. direct parasite genome sequencing in host tissues),
their application for clinical and epidemiological purposes (among others, source tracing, analysing the evolution of outbreaks, identifying new variants and relevant traits like virulence and drug response, studying co-evolution with endosymbionts and detecting and measuring the impact of parasite sexual recombination),
their implementation in an integrated platform, highly relevant in the post-elimination context.
The research portfolio currently also includes the biology of viscerotropic and dermotropic Leishmania, with a specific focus on the understanding of the parasite’s adaption and resilience to different environments encountered during their life cycle and/or exposure to therapeutic or prophylactic agents. Research topics include genome plasticity and instability, quiescence and persistence, drug resistance and drug tolerance. These mechanisms are common in other Trypanosomatids, and will also provide technological innovations in disease control products, more specifically guiding R&D for a new generation of anti-Leishmania compounds for instance to counter quiescence.
In analogy, the Unit of Clinical Immunology (CIU) within the Department of Clinical Sciences is geared to provide a complementary (and spatially resolved) understanding of a protective host immune response to the parasite and its immune escape mechanisms to ensure intracellular survival (e.g. dysregulated antigen presentation) directly in patient samples. Further capitalising on surveillance efforts of the other units, CIU aims to roll out a first-in-its-kind T-cell epitope mapping of immunogenic Leishmania peptides by means of an artificial-intelligence-facilitated framework that can accurately inform antigen selection in vaccine development. In a more translational pathway, the CIU strives to apply generated knowledge in the development of improved host-based diagnostics, test-of-cure, or biomarker assays that are currently lacking to address the WHO sustainable development goals or elimination goals for leishmaniasis.


The highest burden of visceral leishmaniasis (VL) due to L. donovani has shifted to East Africa, where for the last twelve years, the Unit of Neglected Tropical Diseases within the Department of Clinical Sciences (in close collaboration with the above units) has worked on clinical and laboratory research of VL and the prevalent coinfection with HIV, which hinders elimination programmes as a group of potential superspreaders. Clinical studies range from prediction of VL, improved combination treatment and secondary prophylaxis. The NTD unit has engaged in several grant proposals and prospective cohort studies to improve patient detection and surveillance, to identify prognostic markers for VL-mortality, and to develop novel diagnostic algorithms at health-centre level. Following the recent Nairobi Declaration where East-African countries committed to the elimination of VL by 2030, the NTD unit aspires to levy the common ITM expertise described here to tackle key hurdles to accommodate elimination programmes in East-Africa. In a similar fashion, the NTD unit conducts studies on improved diagnostics, treatment, transmission dynamics and surveillance for the more neglected form of cutaneous leishmaniasis integrated in horizontal skin NTDs programmes (e.g. decentralised diagnosis and treatment of CL in a holistic skin NTD package).


The Unit of Entomology within the Department of Biomedical Sciences focuses on the sand fly vector aiming at understanding its ecology and its role in transmission of Leishmania spp. This research should define the role of vector control in the VL elimination in Asia (Nepal and Bangladesh). Further, the unit looks into novel vector control methods for Zoonotic Cutaneous Leishmaniasis (ZCL). In the context of ZCL the Unit also disentangled the basic transmission cycle of Leishmania in Morocco, a prerequisite to improve targeted vector control. Through VectorNet, the unit contributes to mapping the distribution of the sand fly vector and biocide resistance in Europe and neighbouring countries.

Leishmania Centre of ITM
With experts from five research units spread over three departments, we host the largest multidisciplinary expert group on Leishmania to collectively tackle complex obstacles on population, patient and pathogen level. We also work with partners in over ten endemic countries spread over three continents. Together, we have and will continue to lead impactful research on (muco)cutaneous, visceral and post-kala-azar dermal leishmaniasis across the globe.
Wim Adriaensen
Prof Wim Adriaensen is an immunologist within the Unit of Clinical Immunology.
Explore his research profile.
Thao-Thy Pham
Dr Thao-Thy Pham is an immunologist within the Unit of Clinical Immunology.
Explore her research profile.
Nicky De Vrij
Dr Nicky De Vrij is an immunologist within the Unit of Clinical Immunology.
Explore her research profile.
Selien Oostvogels
Selien Oostvogels is a clinical scientific assistant in the Unit of Clinical Immunology.
Explore her research profile.
Anke van Hul
Anke van Hul is a laboratory technician in the Unit of Clinical Immunology.
Explore her research profile.
Wim Van Bortel
Dr Wim Van Bortel is an entomologist in the Unit of Entomology.
Explore his research profile.
Senne Heeren
Senne Heeren is a population geneticist in the Unit of Molecular Parasitology.
Explore his research profile.
Jean-Claude Dujardin
Prof Jean-Claude Dujardin is a parasitologist in the Unit of Molecular Parasitology.
Explore his research profile.
Gert Van der Auwera
Dr Gert Van der Auwera is a molecular biologist in the Unit of Molecular Parasitology.
Explore his research profile.
Gabriel Negreira
Dr Gabriel Negreira is a molecular biologist in the Unit of Molecular Parasitology.
Explore his research profile.
Allison Aroni
Dr Allison Aroni is a molecular biologist in the Unit of Molecular Parasitology.
Explore her research profile.
Kaoutar Choukri
Kaoutar Choukri is a lab technician in the Unit of Molecular Parasitology.
Explore her research profile.
Małgorzata Domagalska
Dr Małgorzata Domagalska is a geneticist in the Unit of Experimental Parasitology.
Explore her research profile.
Epco Hasker
Prof Epco Hasker is an epidemiologist in the Unit of Mycobacterial Diseases and Neglected Tropical Diseases.
Explore his research profile.
Kristien Cloots
Dr Kristien Cloots is an epidemiologist in the Unit of Mycobacterial Diseases and Neglected Tropical Diseases.
Explore her research profile.
Tanyth de Gooyer
Dr Tanyth de Gooyer is an epidemiologist in the Unit of Mycobacterial Diseases and Neglected Tropical Diseases.
Explore her research profile.
Johan van Griensven
Prof Johan van Griensven is infectious disease clinician and researcher in the Unit of Neglected Tropical Diseases.
Explore his research profile.
Myrthe Pareyn
Dr Myrthe Pareyn is a clinical researcher in the Unit of Neglected Tropical Diseases.
Explore her research profile.
Saskia van Henten
Dr Saskia van Henten is a clinical researcher in the Unit of Neglected Tropical Diseases.
Explore her research profile.
Nicole Berens-Riha
Nicole Berens-Riha is a clinical researcher in the Unit of Neglected Tropical Diseases.
Explore her research profile.
Pieter Monsieurs
Pieter Monsieurs is a parasitology bioinformatician in the Unit of Trypanosoma.
Explore his research profile.
Our partners
View publications
2024
Chronic high level parasitemia in HIV-infected individuals with or without visceral leishmaniasis in an endemic area in North-West Ethiopia: potential superspreaders? - Clinical Infectious Diseases, January 2024
The status of combination therapy for visceral leishmaniasis: an updated review - The Lancet. Infectious Diseases, January 2024
2023
Diversity and dissemination of viruses in pathogenic protozoa - Nature Communications, December 2023
The ongoing risk of Leishmania donovani transmission in eastern Nepal: an entomological investigation during the elimination era - Parasites & Vectors, November 2023
Community-based treatment of cutaneous leishmaniasis using cryotherapy and miltefosine in Southwest Ethiopia: the way forward? - Frontiers in Medicine, October 2023
Unveiling drug-tolerant and persister-like cells in Leishmania braziliensis lines derived from patients with cutaneous leishmaniasis - Frontiers in Cellular and Infection Microbiology, September 2023
Hidden sources of bias in diagnostic studies: the example of visceral leishmaniasis in east Africa - The Lancet. Infectious Diseases, March 2023
2022
Susceptibility status of the wild-caught Phlebotomus argentipes (Diptera: Psychodidae: Phlebotominae), the sand fly vector of visceral leishmaniasis, to different insecticides in Nepal - PLoS Neglected Tropical Diseases, July 2022
Diagnosis of Visceral Leishmaniasis in an Elimination Setting: A Validation Study of the Diagnostic Algorithm in India - Diagnostics, March 2022
High throughput single-cell genome sequencing gives insights into the generation and evolution of mosaic aneuploidy in Leishmania donovani - Nucleic Acids Research, January 2022
2020
Impact of the visceral leishmaniasis elimination initiative on Leishmania donovani transmission in Nepal: a 10-year repeat survey - The Lancet. Global Health, February 2020
2019
Determinants for progression from asymptomatic infection to symptomatic visceral leishmaniasis: A cohort study - PLoS Neglected Tropical Diseases, March 2019
2018
Visceral Leishmaniasis in the Muzaffapur Demographic Surveillance Site: A Spatiotemporal Analysis - The American Journal of Tropical Medicine and Hygiene, December 2018
2015
Sampling strategies for phlebotomine sand flies (Diptera: Psychodidae) in Europe - Bulletin of Entomological Research, August 2015
View reports
Reports will be added soon.
View projects
Projects will be added soon.
Research units
Mycobacterial Diseases and Neglected Tropical Diseases
Tropical Infectious Diseases Research Group
Read more