
Sleeping Sickness
Towards the elimination of sleeping sickness
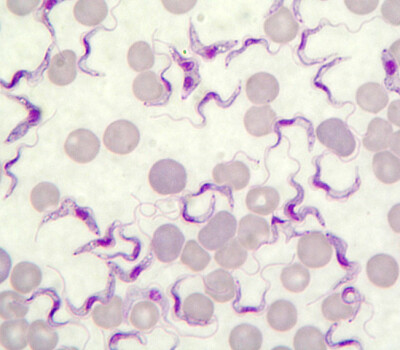
For more than 100 years, ITM has been putting its scientific expertise at the service of the fight against sleeping sickness or human African trypanosomiasis (HAT). The disease occurs to this day, primarily in the Democratic Republic of the Congo (DRC). The institute developed the world's most widely used sleeping sickness test decades ago and still produces it today. In addition, ITM is fully engaged in the research and development of new diagnostic tests, mainly the molecular kind. Those will play an important role in the new phase of sleeping sickness monitoring.
ITM plays a leading role in supporting sleeping sickness control programmes in the DRC. Together with Congolese and international partners, the institute succeeded in drastically reducing the annual number of sleeping sickness cases, reaching the first goal of the World Health Organisation (WHO) to eliminate sleeping sickness as a public health problem in the country. The ultimate goal of the intensive sleeping sickness control programmes is to stop the transmission of the disease completely by 2030, by interrupting the transmission of the parasite between the tsetse fly and humans.
All HAT control projects are funded by the Belgian government and the Bill & Melinda Gates Foundation and are coordinated by ITM. They were renewed in 2021.
Units
Labs
WHO Collaborating Centre for Research and Training on human African trypanosomiasis diagnostics
Partners in Congo
Programme National de Lutte contreTrypanosomiase Humaine Africaine (PNLTHA)
École de Santé Publique de l'Université de Lubumbashi (ESP/UNILU)
Centre de Recherche en Santé de Kimpese (CRSK) de l'Institut Médical Evangélique
International partners
Directorate-General for Development Cooperation and Humanitarian Aid (DGD)

Stop transmission of gambiense human African trypanosomiasis
Through facilitated diagnosis, increased acceptability and access to treatment, StrogHAT will contribute to achieving the goal of stopping gHAT transmission by 2030, as defined by the World Health Organization.
